Ösophagusstenosen
Schatzi Ring

Peptische Ösophagusstenose mit Stentlegung








Anastomosenstenose nach Ösophagusresektion mit Magenhochzug
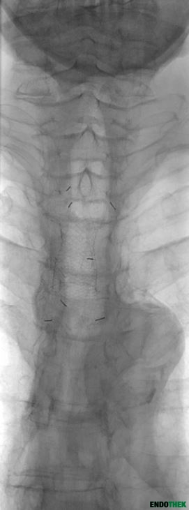
St.p. abdomino-rechtsthorakale Ösophagusresektion mit Magenschlauchinterponat bei langstreckiger, narbiger, hochgradig rezidivierender Ösophagusstenose im distalen und mittleren Drittel






Ösophagusstenose bei Anastomosenstenose nach Ösophagusresektion bei Plattenepithelkarzinom und multiplen Stentimplantationen
St. p. Ösophagusresektion bei Plattenepithelkarzinom und multiplen Stentimplantationen in der Vorgeschichte









